Mindray Vetus 9

The Vetus9 is the first premium cart-based scanner developed by Mindray’s dedicated Animal Care division and adopts Zone Sonography® Technology (ZST+) to provide outstanding image quality images for a shared services environment. Where some systems are optimised for abdominal or cardiology applications, the Vetus9 has been designed to be equally adept in all aspects of veterinary imaging, providing an outstanding one-system solution for all of your imaging needs.
The Vetus9 has been designed with the needs of the vet as guiding principles. With a sealed user interface design and revolutionary, icon driven imaging presets and ZST+ beamforming technology, the Vetus9 System combines superb image quality with an intuitive user experience to help ensure reliable and efficient diagnosis in a shared services environment.
The Vetus9 system comes as standard with a Shared Service Package, DICOM and advanced applications including a cardiac package with Continuous Wave Doppler, and ECG.

Get a quote
mindray-vetus-9-cart-based-veterinary-ultrasound-for-sale

Performance & Workflow

Powerful ZST+ Platform

ZST+ platform is an extraordinary innovation, representing an ultrasound technology evolution. Transforming ultrasound metrics from conventional beam-forming to channel-based processing.

Zone Imaging

Zone Imaging can transmit and receive a relatively smaller number of larger sonographic zones, so as to capture real-time images of animals of all species.

Zone Focusing

ZST+ platform realized the zone focusing throughout the whole field of view with dynamic pixel focusing technology, ensuring the images from superficial skin to deep organs of any animals are in the focus state in real-time.

buy-mindray-vetus-9-ultrasound-machinre

Intelligent control panel – iConsole

Based on six special E-ink keys with digital screens, iConsole can adaptively adjust the layout and key functions during exam shifts.

Focal lesion diagnosis with perfusion – UWN+ Contrast Imaging

It detects and utilizes both the 2nd harmonic and non-linear fundamental signals, generating significantly enhanced images, resulting in greater sensitivity of minor signals and longer agent duration with lower MI.

Innovative stiffness assessment – STE

The Sound Touch Elastography (STE) delivers real-time 2D shear wave elastography imaging. It provides quantitative analysis based on tissue stiffness assessment.

Features

mindray-vetus-9-control-panel-for-sale
mindray-vetus-9-bg-image

Powerful | Focus | Speed

To meet the diverse demands of the veterinary practice, a revolutionary premium ultrasound system is introduced — Vetus 9. Powered by ZONE Sonography™ Technology+ (ZST+), Vetus 9 brings ultrasound imaging performance for animals to the next level.Vetus 9 provides excellent solutions with dedicated veterinary applications, leading image quality, superb diagnostic tools, and efficient workflow.

mindray-vetus-9-half-view-vet-ultrasound

Clinical Images

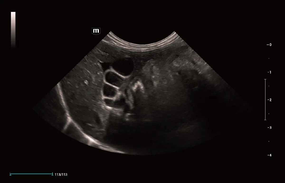
Canine Kidney Glazing Flow Mindray Vetus 9

Canine Kidney Glazing Flow

Canine Left Ventricular Opacification (LVO) Vetus 9

Canine Left Ventricular Opacification (LVO)

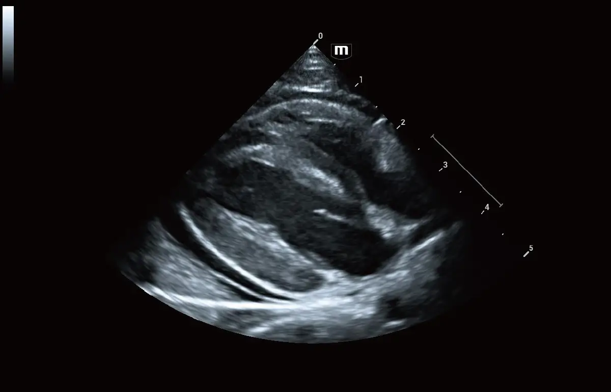
Canine Liver and Kidney Plane Vetus 9

Canine Liver and Kidney Plane

Canine Mitral Regurgitation CW Vetus 9

Canine Mitral Regurgitation CW

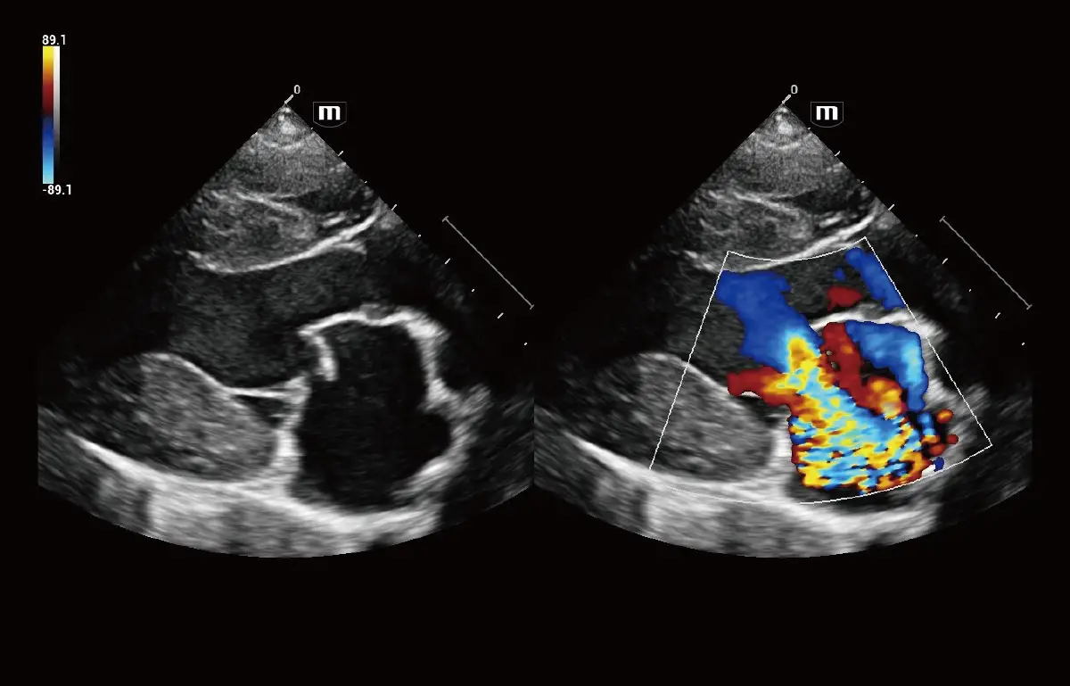
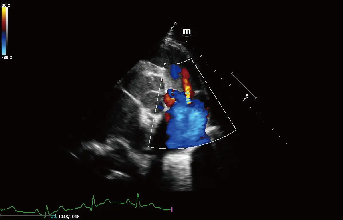
Canine Mitral Regurgitation Vetus 9

Canine Mitral Regurgitation

Canine Myxomatous Mitral Valve Disease (MMVD) Vetus 9

Canine Myxomatous Mitral Valve Disease

Canine Pulmonary Regurgitation Vetus 9

Canine Pulmonary Regurgitation

Canine Pulmonary Stenosis Vetus 9

Canine Pulmonary Stenosis

Canine Spleen Natural Touch Elastography Vetus 9

Canine Spleen Natural Touch Elastography

Canine TDI QA Vetus 9

Canine TDI QA

Feline Bile Duct Dilation Vetus 9

Feline Bile Duct Dilation

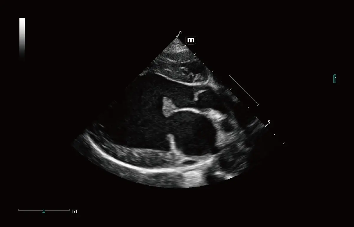
Feline Pericardial Effusion Vetus 9

Feline Pericardial Effusion

QUICK QUOTE